Sprunggelenk - Fuß

OP – Verfahren: Sprunggelenk und Fuß

Eine wachsende Zahl Erwachsener, Jugendlicher und Kinder leidet an Fuß- und Sprunggelenksbeschwerden. Die Beschwerden können
bei angeborenen Fehlstellungen auftreten, durch das Schuhwerk oder durch Unfallfolgen bedingt sein.

Die häufigsten Erkrankungen sind:


Arthrose im oberen Sprunggelenk

Abhängig vom Erkrankungsbild, Ausmaß und Lokalisation der Beschwerden können offen– chirurgische oder arthroskopische Operationstechniken angewendet werden. Einige der Eingriffe können auch ambulant durchgeführt werden.

Durch nach Abdruck gefertigte Einlagenversorgung, Polsterungen am Schuh und Schuhzurichtungen können einige dieser Probleme von uns behandelt werden. Entzündungszustände therapieren wir zusätzlich durch Injektionen oder noch erfolgreicher durch Akupunktur, Kinesiotapes und Stoßwelle.

Sollte diese Behandlung nicht erfolgreich sein, führen wir -aus einer Hand- den erforderlichen operativen Eingriff durch, um die Funktion des Fußes wiederherzustellen und die Schmerzen zu beseitigen.

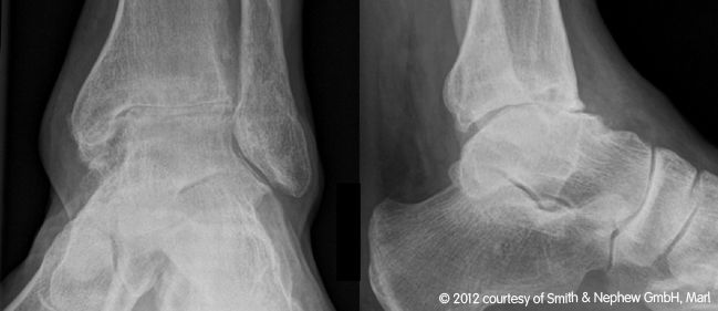
Obere Sprunggelenksendoprothese

Sprunggelenksprothese

Sprunggelenksprothese

Seit 2003 werden in unserer orthopädischen Abteilung in geeigneten Fällen die arthrotisch oder unfallbedingt zerstörten Sprunggelenke durch ein „künstliches Sprunggelenk“ ersetzt.
Wir verwenden dabei die von Prof. Hintermann entwickelte HINTEGRA-Totalendoprothese ,die zementfrei mit nur geringer Knochenresektion eingebaut wird.

Der Vorteil gegenüber der Arthrodese (Versteifung) ist evident: die Beweglichkeit im oberen Sprunggelenk bleibt erhalten oder wird teilweise wiedergewonnen, die bei der Versteifung gefürchtete Arthrose der benachbarten Gelenke wird vermieden. Die überwiegende Zahl der von uns behandelten Patienten ist bisher hoch zufrieden.

Austin Umstellungsosteotomie

Austin-Osteotomie

Austin-Osteotomie

Verwendung bei mittelschweren Hallux valgus Fehlstellungen.

Mit diesem gelenkerhaltenen Operationsverfahren lässt sich ein leichter bis mittlerer Hallux valgus (Großzehenballen) geraderichten. Der Knochenvorsprung am Großzehenballen wird abgetragen, auf der Außenseite des Gelenkes wird die Kapsel gespalten und das 1. Mittelfußköpfchen nach einem Knochenschnitt (Osteotomie) nach außen verschoben und fixiert. 6 Wochen muss der Vorfuß in einem Verbandschuh teilentlastet werden. Die Operation führt zu einem funktionell und ästhetisch guten Ergebnis.

Adresse

Dr. med.
Christian Breuer
Dr. med.
Hans-Christian Freytag


Bramscher Str. 50
49593 Bersenbrück

T 05439 - 1245
F 05439 - 3122

Allg. Kontaktanfrage
Terminvereinbarung

Sprechstunden

Mo 8:00 - 16:00 Uhr

Di 8:00 – 12:30 u.

15:00 – 18:00 Uhr

Mi 8:00-12:30 Uhr

Do 8:00 – 16:00 Uhr

Fr 8:00-13:30 Uhr

2. Meinung

Holen Sie sich bei uns eine zweite Meinung ein:
- Schulterspiegelung
- Knieprothese
- Hüft Prothese

Zertifizierte Qualität

Notdienst

Beachten Sie unsere aktuellen Notdienst-Hinweise!

Wir verwenden Cookies um unsere Website zu optimieren und Ihnen das bestmögliche Online-Erlebnis zu bieten. Mit dem Klick auf „Alle erlauben“ erklären Sie sich damit einverstanden.